Director Neurosciences & Senior Consultant Neurosurgeon Graphic Era Hospital and Graphic Era Institute of Medical Sciences (GEIMS), Uttarakhand
MBBS, M.S., M.Ch (Neurosurgery)
WhatsApp - +91 98308 34566
Email - pbishnu04@yahoo.co.in / pbishnu08@gmail.com
 
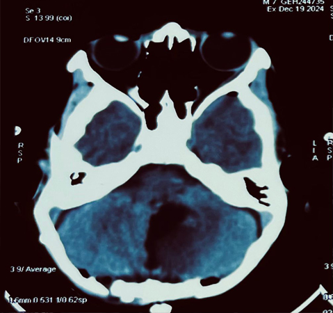
                   A case of Brain Tumour in a Child
MIRACULOUS RECOVERY: GRAPHIC ERA HOSPITAL ACHIEVES MEDICAL MILESTONE
In a groundbreaking surgical feat, the team of expert neurosurgeons at Graphic Era Hospital successfully operated on a 7-year-old child with a large and critically located posterior fossa medulloblastoma. The child, who was admitted in a moribund and lethargic state, underwent a high-precision microsurgical procedure to remove the tumor, which was situated in close proximity to the brainstem.
                    
                    The surgical team, utilized cutting-edge techniques to safely and successfully resect the tumor. The child has made an excellent recovery and discharged with no new neurological decits. This remarkable achievement marks a rst in Pediatric Brain Tumour Surgery; for Graphic Era Hospital; and underscores the institution's commitment to delivering world-class medical care. The child's family has expressed gratitude to the medical team, hailing the surgery as a "miracle."
                    
                     GEIMS Neurosciences Team
                     Another success story of the Dept of Neurosurgery. 
                     Another feather in the cap.
                     Heartiest congratulations to Team Neurosurgery.