Dr. Partha Pratim Bishnu


Director Neurosciences & Senior Consultant Neurosurgeon Graphic Era Hospital and Graphic Era Institute of Medical Sciences (GEIMS), Uttarakhand

MBBS, M.S., M.Ch (Neurosurgery)

Dr. Partha Pratim Bishnu

Treatment

  Pituitary Adenoma Endoscopic Removal



Microphotographs Showing sequence of steps of Pituitary Adenoma removal by Endonasal Transphenoidal Route

Pituitary Adenoma Endoscopic Removal

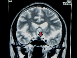
MRI PIC of a Pituitary Adenoma

Pituitary Adenoma Endoscopic Removal

Operate-1

Pituitary Adenoma Endoscopic Removal

The Final check and Fat Graft being taken from the Abdominal Wall